Ijraset Journal For Research in Applied Science and Engineering Technology
Authors: Dr. K Saravana Kumar, Dr. K Kranthi Kumar, Praveen Kumar Reddy Uppeti, Karthik Maddineni, Kranthi Kumar Reddy Mukkera
DOI Link: https://doi.org/10.22214/ijraset.2023.53197
Certificate: View Certificate
Liver diseases have become increasingly common due to sedentary lifestyles and lack of physical activity, particularly in urban areas and metropolitan cities. This has resulted in millions of deaths every year, with liver cancer being a major contributor. However, inaccurate detection of liver tumors has led to many fatalities. Medical image segmentation is a challenging task when it comes to detecting liver tumors in CT images. Therefore, this project aims to improve the accuracy of tumor detection and segmentation using various image processing techniques, such as pre-processing, enhancement, and clustering algorithms. Early detection is critical in preventing liver cancer fatalities, and this project focuses on improving classification performance to aid in early detection. In this paper, we will describe the steps taken to select the best model and develop a necessary system for predicting liver disease.
I. INTRODUCTION
Liver cancer, also known as Hepatocellular Carcinoma (HCC) or Hepatoma, is an abnormal growth of tissue that affects the liver, the largest organ in the abdomen. There are two types of liver cancer: primary, which originates in the liver, and secondary, which occurs when cancer cells from other organs spread to the liver. To diagnose liver cancer, the first step is to obtain an image of the liver for further analysis. Magnetic Resonance Imaging (MRI) is an effective imaging technique that produces high-quality images of the liver and is useful in both diagnosing diseases and conducting biological research. Accurate classification of MRI images greatly enhances the results. After obtaining an image of the liver, the next step in diagnosing liver cancer is to apply different enhancement techniques to improve the image quality by eliminating unwanted noise. Once the image is enhanced, the third stage involves using segmentation techniques to identify and isolate cancer cells in the liver. Liver cancer is a life-threatening condition and is the sixth most common cancer worldwide. CT (Computed Tomography) has been recognized as a precise and non-invasive imaging technique for the diagnosis of liver lesions. However, manual segmentation of CT scans is time-consuming, so there is a need for an automated system to detect tumors. Image processing is used to examine medical and CT images to detect abnormalities. By using contrast material to enhance the clarity of liver images, a CT scan can generate a sequence of comprehensive pictures of the liver, as well as other organs and blood vessels in the abdomen. Analysis of CT scans provides accurate results for diagnosing liver cancer.

II. LITERATURE REVIEW
Manual identification and detection of liver diseases can be expensive, invasive, and timeconsuming. To address this issue, there has been significant research in developing automated methods of diagnosis that are reliable, accurate, and cost-effective. Various diagnostic techniques, including MRI, CT scan, and Ultrasound images, have been utilized to detect different liver diseases. With the recent improvements in transfer learning, the performance of diagnostic systems has been enhanced. Here, we will examine some of the latest research studies that have utilized image processing, deep learning, and transfer learning techniques to achieve state-of-the-art results.
Some of the most commonly used image preprocessing techniques are:
a. Image Resizing: This technique involves adjusting the size of the image to match the requirements of the analysis algorithm. For example, if an algorithm requires a specific image size, the image may need to be resized to fit those requirements.
b. Image Normalization: The purpose of this is to modify the brightness and contrast of an image to enhance the visibility of its pertinent features. This can be achieved by applying statistical methods such as mean subtraction, standard deviation normalization, and histogram equalization.
c. Image Filtering: Image filtering techniques are used to remove noise or unwanted features from the image. There are several types of filters, such as Gaussian, Median, and Bilateral filters, which are used depending on the type of noise present in the image.
d. Image Enhancement: By utilizing various operations, such as sharpening, blurring, and contrast stretching, this technique is employed to enhance the quality of an image.
e. Image Segmentation: The process of dividing an image into distinct segments or regions, each of which corresponds to a different object or image section, is known as image segmentation. This technique is employed to recognize and extract the pertinent features of the image.
f. Image Registration: The process of aligning two or more images of a common scene, captured from distinct viewpoints or at varying times, is referred to as image registration. This technique is used to combine multiple images into a single, more informative image.
Overall, image pre-processing techniques are an important step in image analysis, as they can significantly improve the accuracy and speed of the analysis algorithms. The selection of pre-processing techniques relies on the characteristics of the image and the necessities of the analysis algorithm.
3. Image classification using Deep Learning, is a subfield of artificial intelligence that involves training neural networks to identify and classify images based on specific criteria. Deep learning models are structured to analyze data by passing it through several layers of interconnected nodes, referred to as artificial neurons, which can process information and develop the ability to recognize patterns in the data. The process of image classification using deep learning can be broken down into several steps:
a. Data Collection: A large dataset of images is collected, labeled with the appropriate classifications. The deep learning model will be trained using this dataset.
b. Data Preprocessing: The images are processed to ensure that they are all the same size and format, and any necessary adjustments are made to improve the quality of the images.
c. Model Creation: A deep learning model is designed using a framework such as TensorFlow, PyTorch, or Keras. The structure of the model, including the quantity and type of layers and the activation functions, is established.
d. Training: The model is trained on the dataset using a training algorithm such as backpropagation. Throughout this process, the model's weights are modified to decrease the disparity between the predicted output and the genuine output.
e. Evaluation: The effectiveness of the model is assessed using a distinct dataset known as the validation dataset. This dataset is not employed during the training phase and enables us to determine the model's ability to generalize.
f. Optimization: The hyperparameters of the model are optimized using a process called hyperparameter tuning. This process entails tuning the model's hyperparameters, including the learning rate and batch size, among others, to enhance the model's performance.
g. Deployment: After the training and optimization process, the model is ready to be implemented in a production setting where it can classify new images.
Deep learning has demonstrated remarkable success in image classification tasks, especially in situations where traditional machine learning techniques have faced challenges. Nonetheless, the success of deep learning models is significantly influenced by the quality and quantity of training data, as well as the model architecture and hyperparameters design.
III. METHODOLOGY
This project is divided into three categories for detecting cancer cells.

A. Proposed System Algorithm
In the following, discusses about proposed system algorithm in detail.
Algorithm: EARLY STAGE LIVER DISEASE PREDECTION USING IMAGE PROCESSING
Input : CT scan Image
Output : Effected part of liver is extracted
Begin
2.1 Load medical image
2.2Noise removal
2.3
3. Image Segmentation Using Otsu’s method
3.1 convert image to grayscale
3.2 Extract Binary image using Otsus method
sigma^2_w(T) = w1(T) * w2(T) * [mu1(T) - mu2(T)]^2
4. Marker-Controlled Watershed method
4.1 morphological operations to binary mask
4.2 Identify potential markers for liver regions.
4.3 Generate a marker image withliver regions labeled.
4.4Apply watershed algorithm using marker image to segment liver regions
5. Segmented Image
6. Feature extraction
7. if tumer is detected
return liver is effected
else
return liver is not effected
End
B. Image Enhancement
Image enhancement is a pre-processing step in image processing that strives to enhance the visual appearance of an image. It involves techniques that can be used to sharpen, brighten, or clarify digital images. Image enhancement aims to produce an image that is better suited for a specific purpose or to enhance its visual appearance.
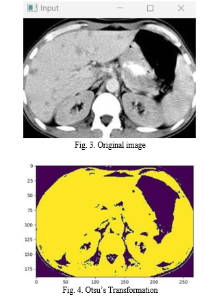
Here in this project we used Otsus method.
Otsu's method is a widely used automatic thresholding technique in image processing, which involves separating the foreground and background pixels of a grayscale image based on their intensity values to produce a binary image.
Otsu's method is a widely used automatic thresholding technique in image processing, which involves separating the foreground and background pixels of a grayscale image based on their intensity values to produce a binary image. The Otsu's method calculates the ideal threshold value by maximizing the variance between the two categories of pixels - foreground and background. This method assumes that the image has two classes of pixels, namely the object and background, and that the gray level histogram of the image is bi modal.
To find the optimal threshold value for converting a grayscale image into a binary image, the Otsu's method computes the weight, mean, and variance of the two classes of pixels, i.e., foreground and background, for each possible threshold value. Initially, the histogram of the input grayscale image is calculated. The weight of a class is the fraction of pixels in that class, while the mean represents the average gray level value of the pixels in that class.
On the other hand, the variance measures the spread of the pixel values in a class. After computing the weight, mean, and variance of the two classes of pixels (foreground and background) for each possible threshold value, the Otsu's method proceeds to calculate the between class variance.
This is accomplished by computing the weighted sum of the variances of the two classes, where the weights are the fractions of pixels in each class. The between-class variance is a measure of the degree of separation between the two classes of pixels.
After calculating the between-class variance for each possible threshold value, Otsu's method selects the threshold value that maximizes the between-class variance. This threshold value is then applied to the grayscale image to generate a binary image, where pixels with intensities above the threshold are classified as foreground, and pixels with intensities below the threshold are classified as background. The mathematical formula used in Otsu's method calculates the optimal threshold value, T, by minimizing the intra-class variance of the two regions created by the threshold. The formula for the intra-class variance is:
sigma^2_w(T) = w1(T) * w2(T) * [mu1(T) - mu2(T)]^2
where w1(T) and w2(T) are the probabilities of the foreground and background regions, respectively, and mu1(T) and mu2(T) are the mean intensities of the foreground and background regions, respectively.

C. Image Segmentation
Image segmentation involves partitioning an image into several distinct and meaningful regions or segments, with each segment representing an object or a background. The main objective of this process is to simplify and/or transform the image's representation into a more comprehensible format that can be easily analyzed. The marker-controlled watershed segmentation method is utilized in this project to segment objects from the background in an image. This method is based on identifying watershed lines using gradient images, which enables the segmentation of objects. To begin, markers or seeds are identified for the regions of interest and used to define the watershed lines. The technique then segments the image into distinct regions, allowing for further processing and analysis of each region as necessary. Marker-controlled watershed segmentation is commonly used in fields such as medical imaging, where it is used to identify and segment objects such as tumors or blood vessels from surrounding tissue. We can see the gradient magnitude image in fig 5.

Marker-controlled watershed segmentation is a widely used technique for segmenting images into different regions or segments based on the intensity or color of the pixels. The first step of this method involves identifying markers in the image, which can represent objects or features of interest. This can be accomplished using various techniques such as thresholding, edge detection, or gradient-based methods, either manually or automatically. Once the markers have been identified, a gradient image is generated based on the intensity or color variations in the image. This gradient image is then used to generate a watershed transform, which divides the image into different regions basins based on the intensity or color gradients. The markers are used as seed points to guide the watershed transform and ensure that the regions are correctly segmented.
One of the advantages of using marker controlled watershed segmentation is that it can accurately segment objects or regions with complex shapes and overlapping boundaries. It can also be used for the segmentation of images with varying contrast or illumination.
Marker-controlled watershed segmentation is a versatile image processing technique that has numerous applications, including image segmentation, object detection, and feature extraction. One area where it is particularly valuable is medical image analysis, where it is commonly used to segment images of organs or tissues for medical diagnosis and treatment planning.
2. Mathematical Explanation
Let I(x,y) be the input image defined over a 2D coordinate system (x,y). The marker-controlled watershed method can be mathematically expressed as follows:
a. First, the image is preprocessed to enhance the contrast or smooth the noise. Let J(x,y) be the preprocessed image.
b. The next step in marker-controlled watershed segmentation involves defining markers based on prior knowledge or user input. One common way to define markers is by manually placing them on the object of interest. Let the marker image be denoted as M(x,y), where M(x,y) equals 0 for background pixels and 1, 2, ..., n for foreground pixels, where n represents the number of objects of interest.
c. The distance transform is then applied to the marker image, which assigns a distance value to each pixel based on its distance to the nearest marker. Let D(x,y) be the distance image, which is defined as: D(x,y) = min{dist((x,y),(x',y')) | M(x',y') ≠ 0}, where the distance is calculated using the Euclidean distance formula, dist((x,y),(x',y')).
d. The watershed transform is applied to the distance transform image, creating a segmentation where each catchment area corresponds to an object of interest. Let S(x,y) be the segmentation image, which is:
S(x,y) = argmin{D(x',y') | (x',y') is in the catchment area of (x,y)} where the catchment area of a pixel (x,y) is a region in the image that consists of all the pixels that are connected to (x,y) and have a height value in D(x,y) that is lower or equal to the height value at (x,y).

D. Feature Extraction
Watershed ridge and boundary images are essential components of image feature extraction, which is a fundamental technique in image processing. These images are used to identify and extract significant features of an image, such as edges, corners, and texture, which can then be used for various applications such as object recognition, image classification, and image retrieval. Contour-based feature extraction is a widely used technique in image processing to extract important information from images. It involves identifying and extracting the contours or boundaries of objects in an image and using them to extract relevant features. One such technique is the contour lane method. The contour lane method involves dividing the contour into equally spaced intervals and calculating the angles of the tangent lines at each interval. These angles are then used to construct a feature vector, which represents the contour. The length of the feature vector depends on how many intervals the contour is divided into.
The contour lane method has several advantages, including its ability to extract both global and local features of an object's contour. Additionally, it is robust to noise and can handle both closed and open contours. However, it may not perform well in cases where there are multiple contours or where the contours are too complex.
IV. EXPERIMENTAL RESULTS
This report section focuses on the models and their fine-tuned parameters that were used in a novel study of liver CT scan images. Four models were utilized, and their performance was evaluated by calculating training and validation accuracies and losses for each epoch, which were plotted to illustrate their progression. Test accuracy was also determined through predictions on new data. The performance of each model was assessed using confusion metrics and classification reports. These metrics provide valuable information about precision, recall, f1- score, true positives, true negatives, false positives, and false negatives. Each model was evaluated in a separate experiment.


This report presents an analysis of several MRI images, which were pre-processed using the Otsu method and then segmented using the Marker Controlled Watershed algorithm. The results show that the segmentation was successful for some of the images, although there is room for improvement. To enhance the accuracy of the process, a possible future direction would be to develop a more user friendly graphical interface that incorporates a wavelet transform for feature extraction with a one click approach. Regarding accuracy, the original paper achieved an accuracy of 74.93%. However, in this study, an active contour method was implemented, as described in another paper, resulting in an accuracy of 85.99%.
[1] Zhang, Y., L. Wu, and S. Wang, “Magnetic resonance brain image classification by an improved artificial bee colony algorithm,” Progress In Electromagnetics Research, Vol.116, 65–79, 2011. [2] Mohsin, S. A., N. M. Sheikh, and U. Saeed, “MRI induced heating of deep brain stimulation leads: Effect of the air-tissue interface,” Progress In Electromagnetics Research, Vol. 83, 81–91, 2008. [3] Golestanirad, L., A. P. Izquierdo, S. J. Graham, J. R. Mosig, and C.Pollo, “Effect of realistic modeling of deep brain stimulation on the prediction of volume of activated tissue,” Progress In Electromagnetics Research, Vol. 126, 1–16, 2012. Mohsin, S. A., “Concentration of the specific absorption rate around deep brain stimulation electrodes during MRI,” Progress In Electromagnetics Research, Vol. 121, 469–484, 2011. [4] Oikonomou, A., I. S. Karanasiou, and N. K. Uz u n o g l u , “ Ph a s e d a rr a y n e a r fi e l dr a d i o m e t r y f o r brain intracranial applications,” Progress In Electromagnetics Research, Vol. 109, 345–360, 2010. [5] Scapaticci, R., L. Di Donato, I. Catapano, and L. Crocco, “A feasibility study on microwave imaging for brain stroke monitoring,” Progress In Electromagnetics Research B, Vol. 40, 305– 324, 2012. [6] Chaturvedi, C. M., V. P. Singh, P. Singh, P. Basu, M. Singaravel, R. K. Shukla, A . Dhawan, A. K. Pati, R. K. Gangwar, and S. P. Singh. “2.45GHz (CW) microwave irradiation alters circadian organization, spatial memory, DNA structure in the brain cells and blood cell counts of male mice, mus musculus,” Progress In Electromagnetics Research B, Vol. 29, 23–42, 2011. [7] Emin Tagluk, M., M. Akin, and N. Sezgin, “Classification ofsleep apnea by using wavelet transform and artificial neural ne t w o r ks , ” Expert S yst ems with Applications, Vol. 37, No. 2, 1600– 1607, 2010. H. B. Kekre, A. Bild, E. S. Iversen, A. T. Huang, J. R. Nevins, M.West, “Integrated modeling of clinical and gene expression information for personalized prediction of disease outcomes”, Proc. Nat.Acad. Sci. vol. 101, no. 22, pp.8431-8436, 2004. [8] Dr.Anatha Siva Prakasam, Dr.E.R. Naganathan,and Dr.V. SaravanaKumar, “WAVELET BASED CERVICAL IMAGE SEGMENTATION USING MORPHOLOGICAL AND STATISTICAL OPERATIONS\", has published in Journal of Advanced Research in Dynamical & Control Systems, Vol. 10-03, pp 1138 – 1147, June 2018, listed in Scopus with IF 0.22, ISSN: 1943-023X, http://www.jardcs.org/abstract.php?archivei d=3838 [9] M.Kavitha, Dr. V. SaravanaKumar et al., “AN EMPIRICAL STUDY ON IMAGE SEGMENTATION TECHNIQUES FOR DETECTION OF SKIN CANCER”, has published in “Journal of Pharmaceutical Research International”, Science Domain International, ISSN 2456-9119, Vol 33 issue 10, Page 71-81. March 2021, IF - 0.07, (WoS Listed, ESCI) DOI:10.9734/ jpri/ 2021/ v33i1031235. [10] V.SaravanaKumar , Dr.E.R.Naganathan, et al., “ MULTIBAND IMAGE SEGMENTATION BY USING ENHANCED ESTIMATION OF CENTROID (EEOC)”, has published in INFORMATION - An International Interdisciplinary – Journal, Tokyo, Japan had indexed in Scopus and had listed in Annexure I with IF 0.4, Vol. 17 no 6A, June 2014, pp.1965-1980,ISSN: 1343-4500. http://www.informationiii.org/abs_e2.html #No7(A)-2014.
Copyright © 2023 Dr. K Saravana Kumar, Dr. K Kranthi Kumar, Praveen Kumar Reddy Uppeti, Karthik Maddineni, Kranthi Kumar Reddy Mukkera. This is an open access article distributed under the Creative Commons Attribution License, which permits unrestricted use, distribution, and reproduction in any medium, provided the original work is properly cited.
Paper Id : IJRASET53197
Publish Date : 2023-05-28
ISSN : 2321-9653
Publisher Name : IJRASET
DOI Link : Click Here
Submit Paper Online
