The light microscopic of Corpus luteum and the different cell types in the functional corpus luteum of the bat were studied. Two types of luteal cell,a large and small, were present in the corpus luteum of this species of bat. The large more rounded luteal cell. Cytoplasm is granular and vacuolizations are observed in most of the cells The luteal cells are compactly arranged and show moderate hypertrophy. Nuclei are distinct and darkly stained with Chromatin clumps. During late pregnancy luteal cells are shrunken. Intracellular spaces in the corpus luteum have increased. Small vacuoles are also seen in the cytoplasm of the luteal cells. The process of luteolysis has been initiated in the luteal cells Small luteal cell present amongs the large luteal cells with tapering cytoplasmic processes.
Introduction
I. INTRODUCTION
The endocrine role of the ovary is to secret progesterone and estrogen and hormonal regulation of pregnancy. It is well observed in various chiropterans as for as the endocrine role of ovary during pregnancy is concerned. One of the hormones of ovary, progesterone is secreted from the corpus luteum. The corpus luteum is a transient endocrine gland required for successful maintenance of pregnancy. The corpus luteum is a transient endocrime gland that is specialized for the production of progesterone and that plays a critical role in the establishment and maintenance of pregnancy. The life span of the corpus luteum varies between species and, within a species, can be dramatically altered by events such as mating or pregnancy.
A corpus luteum is Ipsilateral to the reproductive duct carrying the newly ovulated ovum or conceptus is reported in Haplomycteris fischeri by Heidman (1989). He observed a few cases of partly extrovert corpus luteum and in most instances the corpus luteum formed a spherical mass that filled 25-90% of the ovary. Haplomycteris fischeri exhibits embryonic developmental delay during its reproductive cycle. By the time blastocyst has reached the uterus, the corpus luteum was vascularized. The corpus luteum of early pregnancy and early delay typically had large cell with large nuclei and prominent nucleoli. Corpus luteum of females with embryos in delay or soon after the end of play also contains large lutein cells. It is during late pregnancy when most cells were much smaller and the corpora lutea had and therefore decreased considerably in size. By the last month of gestation, the involution corpora lutea had greatly diminished and is no longer apparent by the time of implantation of the next embryo. Thus in pygmy bats, there were no clear changes in the lutea cells over the delay period of embryonic development
The examination of the ovaries of several species of bats during different stages of pregnancy reveled that there were considerable difference in the rate of growth, mode of development, the definitive structure, the duration of existence and manner of regression of the corpus luteum among the different species of bats (Gopalkrishna and Badwaik, 1988).
Luteinizing hormone LH from the anterior pituitary is important for normal development and function of the corpus luteum in most mammals, although growth hormone, prolactin and estradiol also play a role in several species (Niswender, et.al. 2000).
Although the endocrine glands undoubtedly play a major role in regulating sexual cycle of mammals, there is a little information available on structural and functional correlates to reproductive function of the Indian bats.
II. MATERIAL AND METHODS
The specimen of Taphozous kachhensis were collected from Ambai Nimbi, about 45 kilometers from Bramhapuri (M.S.). Many collections were made during the breeding season so as to coincide with the time of reproductive cycle and to get an accurate pregnancy record. During the day time, their roosting places were visited and the specimens were netted at random with the help of a butterfly net. These bats are very sluggish in nature after collection they were sexed and only the females were brought to the laboratory.
For light microscopy ovary was dissected out and fixed in alcoholic Bouin’s fluid. After fixation for 24 hr tissue were washed with 70% ethanol. For histological observation, the tissues were later dehydrated in various grades of alcohol, cleared in xylol, and embedded in paraffin wax. The tissues were cut at 5 to 6µwith the help of Leica 2417 microtome the sections were stained with haematoxylin and eosin for routine histological examination.
III. OBSERVATIONS
A. Ovary During Early Pregnancy
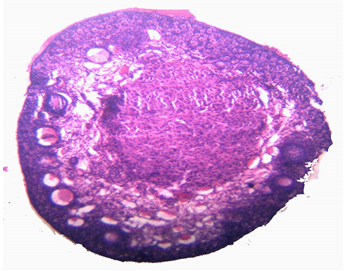
Specimen collected in the month of January show the early pregnancy. At this stage two ovaries show different histological pictures. The right ovary shows the presence of well developed introvert corpus luteum which appear as a solid ball like structure occupying almost 1/3 part of the ovary (Fig. 1). The luteal cells are compactly arranged and show moderate hypertrophy. Nuclei are distinct and darkly stained with Chromatin clumps. Cytoplasm is granular and vacuolizations are observed in most of the cells. (Fig. 2). Ovary on the left side shows the follicle in all stage of development up to multilaminar stage.
Fig. 1 T. S of the ovary during early pregnancy showing the presence of introvert corpus luteum (CL). X 100
Fig. 2 Magnified view of the corpus luteum showing the presence of luteal cell with granular cytoplasm. Note the stages of mitotic division in the luteal cells. In some cell cytoplasm is vacuolated. X 1000
B. Ovary During Mid-Pregnancy
Specimens collected in the month of March showed mid-pregnancy. During this stage the corpus luteum is fully developed and it occupies the entire ovary except small peripheral region; (Fig. 3) where few follicles are seen.
During this stage corpus luteum reaches its maximum size. In peripheral region some follicles continues to develop up to unilaminar or bilaminar follicles. The corpus luteum consists of hypertrophied, highly vacuolated luteal cells. At this stage nuclei are very distinct, Cytoplasm is deeply stained and exhibit granular appearance (Fig. 4).
Fig. 3 T.S. of ovary during mid-pregnancy showing the presence of well developed corpus luteum, few primordial follicles, and double layered follicle. X 100
. 4 Enlarged portion of the corpus luteum during mid-pregnancy showing hypertrophied, highly vacuolated luteal cells (LC). Note the presence of spherical nuclei. X 1000
C. Ovary During Late-Pregnancy
Specimens collected in the month of May show the late pregnancy. During this stage there is progressive decrease in the size of corpus luteum. Many luteal cells are shrunken. Intracellular spaces in the corpus luteum have increased. Small vacuoles are also seen in the cytoplasm of the luteal cells. The process of luteolysis has been initiated in the luteal cells (Fig. 5).
Fig. 5 T.S. of ovary during late pregnancy showing the presence of regressed corpus luteum (CL) X 100
D. Ovary During Lactation
After the parturition, the females were in lactating stage in the month of June. The young one is attached to the body of the female. The ovary of the parturated horn contains degenerating corpus luteum in the form of scar like body or the corpus albicans; most of the follicles are in degenerating state leaving only empty follicles. While the ovary of non-parturated horn contains few unilaminar follicles. Primordial cell are still persisted in the peripheral part of ovary. The connective tissue stroma is poorly developed during this stage (Fig 6).
Fig. 6 T.S. of ovary of non-parturated horn during lactation showing some atretic follicles. X 400
IV. DISCUSSION
The corpus luteum occupies the entire ovary and the formation of extrovert corpus luteum also is reported in Megaderma lyra lyra (Sonwane, 2010) and Hipposideros speoris (Gopalkrishna and Bhatiya, 1983).The presence of introvert corpus luteum has been observed in Taphozous longimanus (Nerkar, 2007). Penduculate corpus luteum is reported only in Rhinolopus rouxi (Ramakrishna et.al. 1981) and Hipposideros lankadiva (Sapkal and Bhandarkar, 1984; Seraphim 2002). The rapid enlargement of corpus luteum as noticed in Taphozous kachhensis is also reported in other Chiropteran species such as Cynopterus sphinx (Krishna and Dominic, 1983) and Taphozous longimanus (Nerkar (2007). The corpus luteum is a transient endocrine gland required for successful maintenance of pregnancy and one of the ovarian hormones progesterone is secreted from the corpus luteum. Corpus luteum is reported to persist for several months after parturition in Rousettus leschenaulti (Gopalkrishna et. al., 1986) and Cynopterus sphinx (Krishna and Dominic, 1983).
The corpus luteum is short lived and disappears very early in pregnancy in some bats such as R. rouxi (Ramakrishna, 1978), Pipistrellus mimus mimus (Krishna, 1985), Megaderma lyra lyra (Sonwane, 2010) and Hipposideros lankadiva (Seraphim 2002). In contrast, corpus luteum persist till parturition in Taphozous longimanus (Nerkar, 2007), Scotophilus heathi (Krishna and Dominic, 1988).
In most of the mammals corpus luteum is composed of two distinguishable cell types, small size luteal cells and large size luteal cells (Koering, 1974; Paovola, 1977) and is derived from both granulosa and theca layer of ovarian follicle. In Chiroptera, the study of corpus luteum has been reported in Taphozous longimanus (Nerkar, 2007), Hipposideros speoris (Ramakrishna et. al., 1981), in Miniopterus schreibersii (Bernard et. al., 1991), Megaderma lyra lyra (Sonwane, 2010).
The results of present study suggest that the luteal cells of corpus luteum are steroidogenically active and involved in the synthesis of progesterone required for the maintenance of pregnancy in this species.
References
[1] Bernard, R.T.F., Bojarski, C. and Miller, R.P. (1991). Plasma progesterone and luteinizing hormone concentration and role of the corpus luteum and LH gonadotrophs in the control of delayed implantation in Schreibers long fingered bat, Miniopterus schreibresii Journal of reproduction and fertility., 31: 31-42.
[2] Gopalkrishna, A., Badwaik, N. and Nagrajn, R. (1986). The corpus luteum of Indian fruit bat, Rousettus leschenaulti Desmarest. Current Science, 55: 1227-1231.
[3] Gopalkrishna, A. and Bhatiya, D. (1983). Breeding habit and associated phenomenon in some. Indian bats part VII Hipposideros speoris (Schneider). Hipposideros form Chandrapur (M.S.). Journal of Bombay Natural History Society, 79: 549-556.
[4] Gopalkrishna, A., Badwaik, N. and Nagrajn, R. (1986). The corpus luteum of Indian fruit bat, Rousettus leschenaulti Desmarest. Current Science, 55: 1227-1231.
[5] Heideman (1989). Delayed development is fischer’s pigmy fruit bat, Hyplorycteris fischeri in the Phillipines Journal of reproduction and fertility 86: 367-382.
[6] Koering, M.J. (1974). Comparative morphology of the primate ovary. pp 33-81. In: Contributions to Primatology: Vol. 3. (ed. W.P. Luckett), Krger, Basal, Switzerland
[7] Krishna, A. and Dominic, C.J. (1988). Histological and histochemical observation on the corpus luteum of the Indian Vespertilionoid bat, Scotophilus heathi- Horsefield. Zoologischer Anzeiger., ½, S. 8-16.
[8] Krishna, A. (1985). Reproduction in the Indian Pigmy Pipistrellus bat, Pipistrellus mimus. Journal of Zoology, 206: 41-51.
[9] Nerkar, A.A. (2007). Electron microscopic studies on the endocrine gland and reproductive organs of Emballonurid female bat Taphozous longimanus (Hardwicke) during reproductive cycle. Ph.D. Thesis submitted to Rashtra sant tukdoji maharaj .Nagpur University. Nagpur.
[10] Niswender GD, Juengel JL, Silva PJ, Rollyson MK and McIntush EW (2000) Mechanisms controlling the function and lifespan of the corpus luteum. Physiological Reviews 80 1–29.
[11] Paovola, L.G.(1977). The corpus luteum of the guinea pig: Fine structure at the time of maximum progesterone secretion and during regression. American Journal of Anatomy, 150: 567.
[12] Ramakrishna, P.A. (1978). Corpus luteum in Indian rufus horse-shoe bat, Rhinolophus rouxi (Temminck) Current Science, 47: 477.
[13] Sapkal,V.M, and Bhandarkar, W.R.( 1984). Breeding habit and associated phenomenon in some Indian bats Part IX - Hipposideros lankadiva (Kelaart) Hipposideros. Journal of the Bombay Natural History Society, 81: 386.
[14] Seraphim, E.R. (2004). Endocrine Interaction during different phases of the Female Reproductive Cycle in Hipposideros lankadiva (Kelaart), Ph. D. thesis, RTM Nagpur University, Nagpur
[15] Sonwane, D.P. (2010). Endocrine Regulation of Reproduction in the Indian Female Vampire Bat Megaderma lyra lyra (Geoffroy). Ph.D. thesis submitted to Rashtra sant Tukdoji Maharaj, Nagpur University, Nagpur, Maharashtra, India.